作者:admin发布时间:2012-11-01 18:51浏览:
次
(一)检查技术 四肢CT检查需同时进行两侧肢体横断面扫描,以便作两侧对照观察。根据病变的性质和范围决定层厚,一般为0.5cm或1cm。调节窗位与窗宽以分别观察骨和软组织结构。
(二)骨关节疾病 CT以横断面图像显示皮质、骨松质、骨髓腔、关节软骨及邻近的肌肉、脂肪和肌腱等。
骨关节外伤X线检查多能作出诊断。只有深部或解剖关系复杂区域,如髋关节外伤可用CT检查。CT可显示X线片未发现的骨折、脱位、关节内游离体及软组织血肿等。
CT可诊断骨关节感染性病变。急性化脓性骨髓炎,CT可见骨破坏、骨髓腔密度增高和小死骨。当X线平片对炎症和肿瘤不易鉴别时,如CT发现上述改变和软组织内脓肿时则有助于骨髓炎的诊断。
对于骨肿瘤,CT能显示肿瘤大小、形状、轮廓、内部结构、与周围组织的关系和了解肿瘤在骨髓腔内浸润及向骨外软组织侵犯的范围。骨髓受肿瘤浸润的检出有较高的价值,但CT对鉴别肿瘤的良恶性及确定肿瘤性质仍有困难,应综合临床资料加以考虑。
(三)软组织疾病 CT能显示四肢肌肉分隔及大的血管与神经结构,因此,CT可用于观察软组织疾病,确定病变范围和性质。
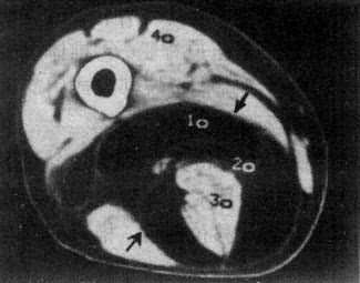
软组织肿瘤的密度一般低于正常肌肉,增强扫描可增加病变和正常肌肉的密度差,多数良性肿瘤边界清楚或有包膜且质地均匀,但定性诊断有一定限度。脂肪瘤因有典型的脂肪密度,表现具有特征性(图2-2-1)。海绵状血管瘤于肿块内可见小圆形静脉石,且在造影增强扫描后,肿瘤明显强化,具有一定的特点。

图2-2-1 大腿脂肪瘤
右大腿中1/3后内侧低密度肿块,境界清楚,CT值-100Hu
软组织恶性肿瘤一般边界不清,质地不均匀或呈斑片状。生长迅速的肿瘤内还常有坏死、水肿和出血,使病灶密度更不均匀。当邻近骨组织或器官受到肿瘤侵犯时则可肯定肿瘤为恶性。CT对多数软组织肿瘤不能判断其性质,有时难与血肿或脓肿区分。在CT引导下,经皮穿剌活检可获得正确的组织学结果。
二、脊柱
CT对显示脊柱、椎管和椎间盘优于平片,在诊断椎间盘脱出、椎管狭窄和脊柱外伤有较高价值。
(一)检查技术 脊柱的CT检查常规取仰卧位,先作定位,标定扫描层面并决定扫描架倾斜角度。扫描层厚,对椎间盘病变多用2~5mm,脊柱病变则用10~15mm。疑有椎管受累时,可向硬膜囊内注射非离子型碘造影剂,再作CT扫描,即脊髓造影CT。
(二)正常脊柱CT表现 在脊柱CT的横断像上,由椎体、椎弓根和椎弓板构成椎管骨环,脊髓居椎管中央,呈低密度影,与周围结构有较好的对比。黄韧带为软组织密度,附着在椎弓板和关节突的内侧,正常厚2~4mm。腰段神经根位于硬膜囊前外侧,呈圆形高密度影,两侧对称。侧隐窝(lateral recess)。呈漏斗状,其前方是椎体后外面,后方为上关节突,侧方为椎弓根内壁。其前后径小于5mm,隐窝内有穿出的神经根。椎间盘由髓核与纤维环组成,其密度低于椎体,CT值为50~110Hu。
(三)椎间盘病变
1.腰椎间盘膨出(bulgingof disk) CT表现为椎间盘边缘匀称而弥漫膨隆并超出椎体骨板。椎间盘内可含气体(真空现象),易为CT证实。
2.椎间盘脱出 CT表现为①椎管内前方出现脱出椎间盘的块影(图2-2-2),CT值低于骨但高于硬膜囊;②椎管和硬膜囊间的脂肪层消失,系最早出现变化;③神经根被推压移位;④硬膜囊受压变形(图2-2-2)。

图2-2-2 腰椎间盘中央型脱出(腰4~5)
(四)椎管狭窄(stenosis of spinalcanal) 常见于颈段和腰段。分先天性和获得性两类。前者少见,见于软骨发育不全、粘多糖和椎弓根肥大等疾病。后者是继发于骨或(和)椎管内四周软组织肥厚所致的均匀性狭窄。除累及椎管中央部分外,也可累及侧隐窝及椎间孔。
椎管狭窄可压迫脊髓、神经根和椎动脉,引起相应的症状和体征。其CT表现为;①椎体后缘骨赘向椎管内突入;②椎间盘退变膨出和上关节突肥大,为造成腰椎侧隐窝狭窄的主要原因。侧隐窝前后径在2mm以下可肯定为狭窄,2~4mm为可疑狭窄;③黄韧带或后纵韧带肥厚、骨化。后纵韧带骨化多见于颈椎,可严重压迫脊髓。④椎体滑脱可引起椎管狭窄,CT可发现椎板峡部裂或引起滑脱的椎间盘和韧带的退行性变。
(五)脊柱外伤 X线检查常不能完全显示脊椎外伤范围和严重程度,而CT则可充分显示脊椎骨折、骨折类型、骨折片移位程度、椎管变形与狭窄以及椎管内骨碎片或椎管内血肿等。还可对脊髓外伤情况作出判断。对此,脊髓造影CT价值较大。