医学资讯、医学知识尽在中华医学网!
每日医学知识、资讯海量更新,天天给你健康!
返回主页|联系我们
  • 网站首页
  • 医学科普
  • 口腔疾病
  • 内分泌科
  • 男科疾病
  • 肿瘤疾病
  • 消化疾病
  • 妇产疾病
  • 血液疾病
  • 呼吸疾病
  • 心脑血管
  • 心脑血管
  • 神经疾病
  • 儿科疾病
  • 精神心理
  • 皮肤性病
  • 五官疾病
  • 内科疾病
  • 普通外科
  • 临床手术
  • 整形外科
  • 外科其他
  • 临床科室
  • 疾病症状
  • 急诊急救
  • 物理检查
  • 化学检查
  • 检验医学
  • 实践技能
  • 临床医学
  • 基础医学
  • 护理医学
  • 中医疾病
  • 中医特色
  • 中医方剂
  • 中药知识
  • 生物医药
  • 西药知识
  • 中西药品
  • 专科用药
  • 临床用药
  • 医院查询
  • 就医指南
  • 制药企业
  • 医药批发
  • 医疗器械
  • 医学资源
  • 医学文献
  • Medicine
  • Disease
  • Health
  • Institutes
  • 健康资讯
  • 疾病与营养
  • 饮食与养生
  • 疾病预防与控制
当前位置:主页 > 临床医学 > 文章内容

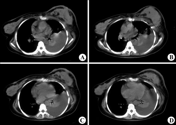
CT左侧乳腺癌3

作者:admin发布时间:2012-11-01 18:51浏览: 次

CT图片:

左侧乳腺癌3

  影像表现:CT平扫(A~D)示左侧乳房体积明显增大,内可见软组织肿块影,密度欠均匀,有多个小圆形低密度影,邻近胸壁界面相对稍增厚,左侧胸腔大量积液,右乳腺内肿块,为转移所致。

  影像诊断:左侧乳腺癌3.

标签:
  • 不动杆菌感染如何预防?
  • 不动杆菌感染容易与哪些疾
  • 不动杆菌感染的治疗方法
  • 不动杆菌感染是由什么原因
  • 闭合性脑外伤容易与哪些疾
  • 闭合性脑外伤需要做哪些检
  • 闭合性脑外伤的治疗方法
  • 闭合性脑外伤是由什么原因
  • 鼻窦气压性创伤容易与哪些
  • 鼻窦气压性创伤的治疗方法
  • 鼻窦气压性创伤是由什么原
  • 鼻窦创伤容易与哪些疾病混
  • 鼻窦创伤的治疗方法有哪些
  • 爆震性耳聋如何预防?
  • 爆震性耳聋容易与哪些疾病
  • 爆震性耳聋需要做哪些检查
  • 爆震性耳聋的治疗方法有哪
  • 爆震性耳聋是由什么原因引
  • 慢性A型、B型胃炎的鉴别
  • 【肋骨骨折】综合笔试知识

热门标签

  • 尿毒症
  • 白血病
  • 子宫肌瘤
  • 输卵管不通
  • 漏斗胸
  • 股骨头坏死
  • 风湿
  • 糖尿病
  • 肾炎
  • 癫痫
  • 肝病
  • 肝硬化腹水
  • 甲亢
  • 三叉神经痛
  • 重症肌无力
  • 脑瘫
  • 帕金森
  • 红斑狼疮
  • 颈椎病
  • 牙齿
  • 怀孕
  • 湿疹
  • 硬皮病
  • 脱发
  • 尖锐湿疣
  • 牛皮癣
  • 不孕不育
  • 抑郁症
  • 白癜风
  • 高血压

最新文章

  • 不动杆菌感染如何预防?
  • 不动杆菌感染容易与哪些疾病混淆
  • 不动杆菌感染的治疗方法
  • 不动杆菌感染是由什么原因引起的
  • 闭合性脑外伤容易与哪些疾病混淆
  • 闭合性脑外伤需要做哪些检查?
  • 闭合性脑外伤的治疗方法
  • 闭合性脑外伤是由什么原因引起的
  • 鼻窦气压性创伤容易与哪些疾病混淆
  • 鼻窦气压性创伤的治疗方法
本站部分资源来自互联网,如有任何问题请联系胡国华:13831408652(同微信)
敬告网民中华医学网的资讯仅供参考,身体若有不适,请及时到医院就诊!
王欣:13403345601 邮箱:huguohuawx@163.com Copyright中华医学网