作者:admin发布时间:2012-11-01 18:51浏览:
次
1.房间隔缺损 房间隔缺损(atrial septal defect)是成人最常见的先天性心脏病,女性多于男性。
根据缺损的部位,可分为第一孔(原发孔)型、第二孔(继发孔)型和其他类型。第二孔型多见,缺损多在卵圆孔,大小为1~4cm。当有心房间隔缺损时,左心主房的血液分流入右心房,因此右心房除接受体循环来的静脉血外,还接受左心房分流的动脉血,右心房、右心室及肺动脉内的血流量明显增加,引起右心房及右心室负担过重而肥厚、扩张。久之可出现肺动脉高压和右心衰竭,右心房内压力可接近或超过左心房的压力,出现双向分流甚至右向左的分流。第一孔型少见,缺损是由于心内膜垫发育障碍所引起,缺损位于房间隔下部,常伴有二尖瓣或三尖瓣裂缺,而产生瓣膜关闭不全。
临床上常有劳累后心悸、气促,易患呼吸道感染,无发绀,儿童症状不明显,多数在青年期才出现症状,心力衰竭常出现于30岁以后。体检在胸骨左缘第2~3肋间可听到收缩期吹风样杂音,无震颤,肺动脉瓣区第二音亢进、分裂。心电图显示右心室和右心房肥厚及右束支传导阻滞。
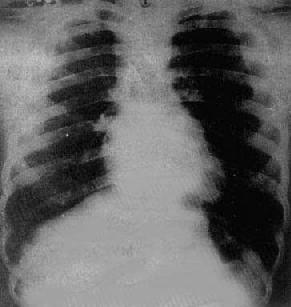
X线表现,当缺损小,分流量少时,心大小和形状正常或改变不明显。缺损较大即有以下改变(图3-2-21):①心呈二尖瓣型,常有中度增大;②右心房及右心室增大,尤以右心房显著增大为心房间隔缺损的主要特征性改变;③肺动脉段突出,搏动增强,肺门血管扩张,常有“肺门舞蹈”现象;④左心房一般不增大,第二孔型左心室和主动脉球变小,而第一孔型左心室增大;⑤肺充血,后期可出现肺动脉高压。
房间隔缺损只有在诊断困难,怀疑有心内膜垫缺损或并发其他畸形时,才行心血管造影。
2.Fallot四联症 Fallot四联症(tetralogy of Fallot)是紫绀型先天性心脏病中最常见的一种,占50%以上,包括四肿畸形:肺动脉狭窄、室间隔缺损、主动脉骑跨和右心室肥厚,其中以肺动脉狭窄及室间隔缺损为主要畸形。系由于原始动脉干分为不均等的粗大主动脉和细小的肺动脉及心球发育障碍所致。肺动脉狭窄以右心室漏斗部狭窄为常见,其次为漏斗部及瓣膜部均狭窄。漏斗部狭窄多为肌肉肥厚呈管状或环状狭窄。室间隔缺损绝大多数在膜部,一般直径为1~2.5cm。主动脉多数向前、向右方移位,骑跨于两心室之上,管径较粗大。为细小肺动脉的3~4倍。右心室肥厚继发于肺动脉狭窄。

图3-2-21 房间隔缺损
右前斜位:右心室增大,肺动脉段突出,心前间隙变窄,无左心房增大后前位:心增大,呈二尖瓣型,右心房及右心室增大,肺动脉段突出,肺纹理增强左前斜位:右心房及右心室增大,左心室被增大的右心室推向后
临床上,患者发育一般迟缓,紫绀出现早,大多数在1岁以内,有气促,喜蹲踞,杵状指趾和晕厥史。于胸骨左缘第2~4肋间可闻到较响亮的收缩期杂音,且可扪及震颤。肺动脉第二音减弱或消失,心电图显示右心室肥厚。
四联症分为三型,X线表现如下:
(1)常见型:(图3-2-22)肺动脉狭窄较重,室间隔缺损较大,紫绀明显。X线表现为①心一般无明显增大,心尖圆钝、上翘呈羊鼻状,心腰凹陷,如有第三心室形成,则心腰平直或轻度隆起;②右心室增大;③左心室因血流量减少而缩小,左心房一般无改变,右心房由于回心血流增多及右心心室压力增高而有轻度到中度增大;④肺门缩小,肺野血管纹理纤细;⑤主动脉增宽,并向前、向右移位。

图3-2-22 Fallot四联症
心增大,心尖圆钝上翅,心腰平直,右心室增大,
肺门缩小,肺纹理纤细,稀少
(2)重型:肺动脉高度狭窄或闭锁,室间隔缺损较大,全部为右向左分流,出生后即出现紫绀,与常见型相似,但更严重。心脏大多数有中度以上增大,右心室增大显著肺门显著缩小甚至无明显肺动脉主干影,肺野有支气管动脉形成的网状侧支循环影。有时可见左上腔静脉或右位主动脉弓。
(3)轻型(无紫绀型):室间隔缺损较小,肺动脉狭窄较明显时,其X线表现与单纯肺动脉狭窄相似;室间隔缺损较大,肺动脉狭窄不明显时,X线表同则与室间隔缺损相似。
心血管造影可明确四联症畸形及其程度,为手术治疗提供重要参考资料。以选择性右心室造影为宜。造影可见在右心室及肺动脉充盈显影的同期或稍后有左心室及主动脉的提早显影,代表心室水平的右向左分流和主动脉骑跨。室间隔缺损于侧位上显示,居主动脉瓣下方,常较大,升主动脉扩张。漏斗部狭窄多较长,呈管状,肺动脉瓣狭窄在心室收缩期呈鱼口状突向肺动脉。肺动脉干及左右分支常有不同程度的细小。右心室肥厚。右心房与腔静脉扩张。