当前位置:主页 > 临床医学 > 文章内容

骨肉瘤-CT

作者:admin发布时间:2012-11-01 18:51浏览:

【CT图片】:

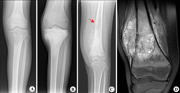
  【影像表现】:X线胫骨正位(A)示胫骨上端溶骨性骨肉瘤,呈溶骨性骨质破坏;另一例成骨型骨肉瘤(B),X线平片示胫骨上端磨玻璃状密度增高影;混合型骨肉瘤(C,D),平片(C)示股骨下段骨膜,Cordman三角(↑)和巨大软组织肿块,MRI T2WI脂肪抑制序列(D)示股骨下段骨质破坏,周围伴软组织肿块形成。

  【影像诊断】:骨肉瘤。