作者:admin发布时间:2012-11-01 18:50浏览:
次
肾在横断面CT图像上,呈边缘清楚、轮廓光滑的圆形或椭圆形软组织影。肾门部内陷,有肾动、静脉和输尿管进出。平扫时,肾实质密度均一,不能分辨皮质与髓质,CT值为30~50Hu。利尿作用强时,密度降低,仅约15Hu。增强扫描,肾实质密度增高,CT值达80~120Hu。肾盂与肾盏平扫时为水样密度,增强扫描密度明显增高。肾盂大小不定。输尿管平扫呈点状影,增强扫描密度高,易于辨认,肾筋膜在50%例可显影,呈横行细线状致密影,居肾之前后。
MRI可清楚显示肾。T1WI上,肾皮质呈中等强度信号,肾髓质信号低于肾皮质,二者形成皮髓质差异。但T2WI,二者差异不显,整个肾实质均呈高信号。肾盂肾盏因含尿液,信号强度与水相似。肾包膜呈中等强度信号,与肌肉、纤维性病变相似。肾周脂肪在T1WI和T2WI上,信号均较高。
(一)肾肿瘤 CT对显示肾癌、肾盂癌相当准确。还可确定肿瘤的大小、浸润的范围、邻近和远处淋巴结转移,因之有助于分期。MRI对肾肿瘤侵犯肾周、对肾静脉和下腔静脉的侵入及瘤栓情况、对肾包膜的累及等均优于CT。对病变显示的机率也大于CT。
1.肾癌 CT平扫可见密度略低于或等于肾实质的肿块,有时为略高密度。肿瘤边缘光滑或不整,与肾实质分界不清,可突出于肾外。肿瘤内部坏死或囊变为低密度区,钙化与出血则为高密度区。增强扫描,在多血管性肿可见异常血管和肿瘤强化,注射后半分钟,肿瘤血管与强化消失,而肾实质强化,则肿瘤呈低密度(图4-4-7)。少血管性癌则不强化。MRI的T1WI上,肿瘤呈低信号,正常的皮髓质差异于肿瘤区丧失,且可出现肿瘤的假包膜征。较低的环影为受肿瘤压迫的肾质和(或)血管、纤维组织所致。T2WI上肿瘤呈高信号,MRI对于肾癌的分期优于CT,但对肿瘤钙化则较难显示。

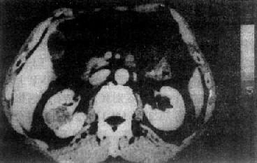
图4-4-7 肾癌CT扫描
增强扫描,右肾中部有一肿块,其强化程度低於肾
实质,肿瘤向肾窦突入
肾切除后肾癌复发,无论CT或MRI肾床局部均可见肿块,腹膜后淋巴结可增大。
2.肾盂癌 CT增强扫描显示肾盂内充盈缺损。通过其CT值及形态可帮助除外新鲜血块、囊肿和结石等。肿块浸润肾实质,则需与肾癌鉴别。肿瘤常使肾窦变形并闭塞正常肾窦脂肪。由于肿瘤可向输尿管或膀胱种植转移,CT扫描应包括输尿管及膀胱。肿瘤内偶可见细小钙斑。MRI肿瘤在T1及T2WI上信号与肾皮质信号强度相近,或T2较短。常依肾窦脂肪受压推移征象帮助判断。MRI可更好显示对邻近血管的侵犯。
(二)肾囊肿 CT诊断肾囊肿相当可靠。
单纯肾囊肿在应用CT后,于生体发现率提高。平扫可见肾包膜内圆形或类圆形、边缘光滑、密度均匀、水样密度的病灶,囊壁薄,与正常肾实质分界清楚(图4-4-8)。增强扫描,无强化。表现典型,不难诊断。囊壁可钙化。有时囊肿密度高或囊壁厚,则需与肿瘤内坏死及脓肿鉴别。对这些不典型例,USG和血管造影有一定帮助,必要时行穿刺。

图4-4-8 肾囊肿CT扫描
CT平扫,左肾前部肾囊肿,呈水样密度,圆形、光滑
多囊肾平扫可见两肾增大,呈分叶状外形,内有多个囊肿,大小不等,壁薄。肾实质内可见钙化。还可发现肝、胰、脾的囊肿。平扫多可确诊。
MRI单纯囊肿呈长T1和长T2。边缘较清晰,内在信号均匀一致。多囊肾的囊肿可为单纯囊肿也可为出血性囊肿,故T1WI呈低信号或混杂信号,T2WI呈高信号或混杂信号,既可以均匀也可以不均匀。
(三)肾盂积水 肾积水功能丧失时,IVP上不能显影,CT则易于显示。可见肾盂、肾盏扩大,肾影增大,严重者肾实质变薄。增强检查,肾实质密度低于正常。如对侧正常,经比较易别。当输尿管梗阻不全或在梗阻早期,注射造影剂后,可见不含造影剂的尿与造影剂形成界面。CT不能确诊肾盂积水,还有可能明确期病因。MRI同样可以显示。肾功能差者肾皮髓质差异变得不明显。
(四)肾、输尿管结石 阳性结石,平扫易于发现,为肾、输尿管内大小与形状不一的高密度影,阴性结石也为高密度影。当IVP上发现充盈缺损,难于判断为阴性结石、凝血块与肾盂癌时,CT有鉴别意义。结石或钙化,MRI价值较低。
(五)肾外伤 CT及MRI诊断外伤并分期。可显示肾实质的不全裂伤及肾内血肿,完全性肾裂伤、肾断离,肾包膜下血肿、肾周间隙或腹膜后其他间隙血肿,新鲜出血,CT平扫可见局部密度增高。血肿液化,则密度减低。增强扫描,肾实质内出血或血肿区的密度常低于增强的正常肾实质的密度。肾盂内可因有血块占据而充盈不佳。MRI可更好显示出血并评价出血所处阶段。
(六)肾炎性疾病 急性肾感染,如肾脓肿,CT平扫可显示比正常肾实质密度略低的病灶,但肾的增大不显著。增强扫描病灶的边缘清晰,密度较低。其内方为脓肿壁,较厚,可不均匀。脓肿中心不增强,为坏死、液化区。一般不大,直径约1~2cm。需与肾囊肿或肿瘤区别,结合史及临床表现,诊断不难。MRI所见,在形态学方面与CT相似。
肾结核属慢性炎症。早期CT扫描改变较轻,易忽略。进展期可见肾盂积水、脓肿和肾实质萎缩等。肾内钙化,CT较易显示,但MRI则较困难。