作者:admin发布时间:2012-11-01 18:50浏览:
次
CT检查膀胱,需适当胀满,以区分膀胱壁与内腔。多饮水、不排尿以充胀膀胱,方法简便,但不够准确。经尿道插管注入低浓度碘造剂、生理盐水、空气或CO2气充胀膀胱易显示病变。
常规用横断面扫描,由耻骨联合向上到骨盆上缘,层厚1cm。膀胱顶部或底部肿瘤或前列腺癌侵犯膀胱底部最好用冠状重建。增强扫描可使输尿管显影,有助于鉴别增大的淋巴结,但扫描膀胱要在膀胱充盈造影剂的早期,因为过晚,膀胱内造影剂过浓,易发生伪影。
MRI除横断面外,需如作矢面或(和)冠状面扫描,尤其是膀胱三角区病变。多回波扫描有助于判断病变组织特点及向邻近浸润。
膀胱居盆腔前部,大小形状因盈程度和层面高低而不同。CT上膀胱呈软组织密度,厚度均匀。闭孔平面可见前列腺,呈类圆形,为均一的软组织密度。中心小圆形低密度区为尿道。前列腺后方有肛门外括约肌,为软组织密度。与前列腺界限不清,再上层面可见直肠,与前列腺分界清楚。膀胱底背侧,与前列腺相连之精囊,呈两侧对称外突的突出物。精囊与膀胱后壁的间隙为精囊角。
正常前列腺在T1WI上呈较低信号,比较均匀,T2WI上可显示中央区、移行和周围区。中央区信号稍低,周围区因腺体含水量较大,信号较强,移行区很细窄,信号低。
(一)膀胱癌 CT诊断膀胱癌比较简便、准确。可见由膀胱壁突入膀胱腔内的软组织肿块,还可埂明向壁内的浸润,表现为局部增厚。邻近组织的浸润和淋巴结转移,CT也可发现。因之,CT对膀胱癌的分期有帮助。
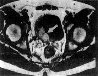
MRI检查,尤其是增强扫描较有利于早期诊断和鉴别诊断以及肿瘤的分期(图4-4-10)。
膀胱癌切除术后复查,MRI有助于区分术后瘢痕或肿瘤复发。

图4-4-10 膀胱癌
膀胱腔内突起的肿块(白↓),
肿瘤已侵犯至壁外(黑↑)
(二)前列腺肥大与前列腺癌 前列腺的大小同年龄有关,但一般其直径不超过5cm。前列腺肥大可,见前列腺向膀胱底突入。边缘光滑,密度均匀,一般是两侧对称,便可一侧肥大明显。冠状面显示更为清楚。
前列腺癌在包膜内生长时,CT难于确诊,只有当侵破包膜向周围脂肪组织中浸润时才可能诊断。表现为前列腺轮廓不整,密度不均。直肠前壁及膀胱壁可被浸润,精囊角消失。CT还可发现淋巴结转移和盆骨转移。CT对前列腺癌的分期有帮助。
MRI上,因前腺增生主要发生于中央区,故T2WI上显示中区央增大。而前列腺癌多发生于周围区,致使周围区在T2WI上信号有局限低或稍低信号的结节影。因此MRI比CT更具诊断价值。但前列腺癌的MRI表现不典型时,诊断仍较困难。